SAVE $$$ BY PURCHASING ONLINE
Cart 0
exocad Smile Creator NEW !
Fabdent Dental Products and Services

exocad Smile Creator NEW !

Regular price $120.00

SAVE !!! BUY ONLINE

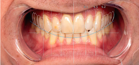
NEW SMILE CREATOR SOFTWARE


The future of cosmetic dentistry

Create added value with Smile Creator – exocad’s innovative in-CAD smile design solution for predictable esthetic smile makeovers. Integrated into the renowned exocad DentalCAD platform, Smile Creator empowers dental labs to reliably assess prosthetic feasibility even during esthetic planning – thanks to our innovative 2D/3D technology.

  • Load patient photos in exocad. These will automatically be converted to 3D objects, which can be matched to 3D scans of the teeth.
  • Automatically add and edit guidelines
  • Select tooth shapes from our extensive library
  • Use simple 2D editing tools to edit the 3D shapes
  • See the 3D result in real-time from various angles

In-CAD Smile Creator is available in standalone format or as an add-on module to exocad’s successful DentalCAD software. Rent or Buy.

NOTE YOU MUST HAVE TRU SMILE MODULE AS A PREREQUISITE

Standalone version comes with TRU SMILE Module.

See video here:

 

https://youtu.be/QWJA52A57aY


Share this Product


More from this collection